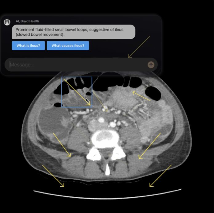
🚀 Dive into the future of Artificial Intelligence with our latest article, “Ask AI” at Braid Health! Explore how AI is revolutionizing industries and reshaping our daily lives.
Key Insights Include:
- Capabilities of Modern AI: Discover various applications, from healthcare to finance, that enhance efficiency and decision-making.
- Ethical Considerations: Understand the importance of aligning AI developments with ethical standards to foster trust and accountability.
- Future Trends: Stay ahead by learning about upcoming trends that could redefine technological landscapes.
💡 As AI enthusiasts, we thrive on innovation and are eager to share insights. This article is not just a read; it’s an invitation to contribute to a critical conversation about responsible AI advancements.
👉 Ready to engage in the future of technology? Share your thoughts in the comments and explore further at Braid Health. Click the link to start the conversation! Read here