Unlocking the Brainstem: AI-Powered Breakthrough in Neuroimaging
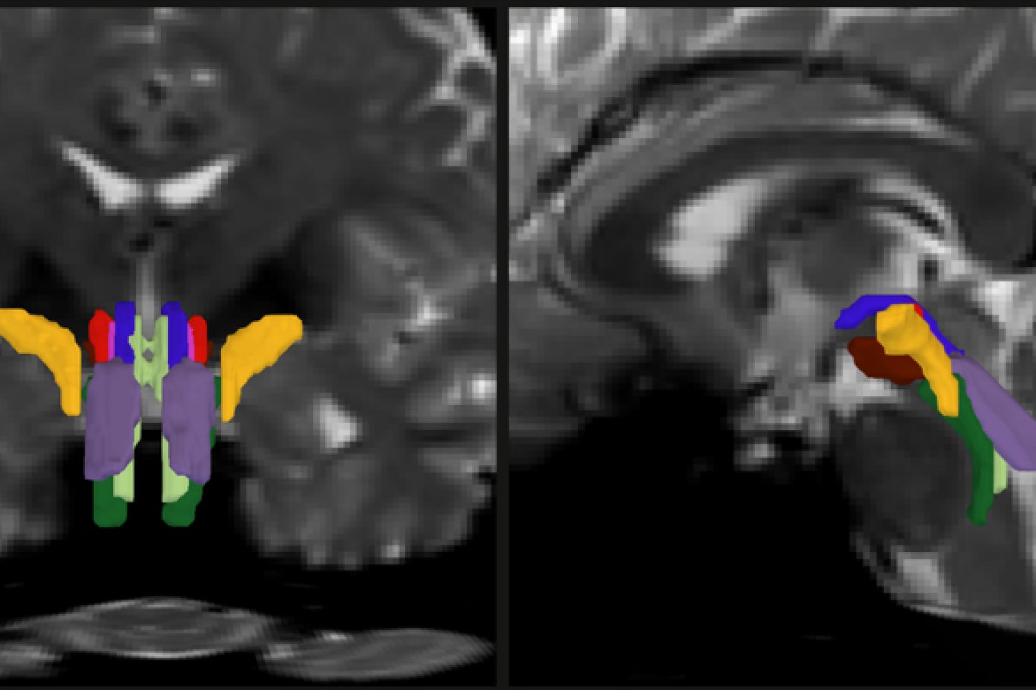
Exciting developments in neuroimaging are here! A team from MIT, Harvard, and Massachusetts General Hospital has unveiled a groundbreaking AI tool, the BrainStem Bundle Tool (BSBT), which effectively segments the brainstem’s white matter bundles. This advancement holds significant promise for diagnosing neurodegenerative diseases like Parkinson’s, Alzheimer’s, and multiple sclerosis.
Key Highlights:
- AI-Driven Segmentation: BSBT uses advanced algorithms to visualize eight distinct fiber bundles in the brainstem.
- Clinical Insights: Its application revealed crucial structural changes in patients, aiding recovery tracking in cases like traumatic brain injuries.
- Innovative Biomarkers: The tool opens new avenues for identifying novel biomarkers linked to various neurological conditions.
“Understanding the brainstem is pivotal for general health,” says MIT’s Mark Olchanyi. This research highlights the intersection of AI and medical diagnostics, paving the way for improved patient outcomes.
👉 Join the conversation! Share your thoughts on the future of AI in healthcare.
